Routine Dental Checkup

img

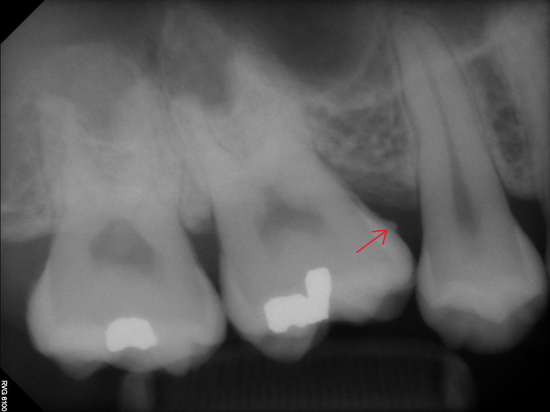
Digital RVG X-rays

Digital radiography is a form of X-ray imaging, where digital X-ray sensors are used instead of traditional photographic film. Advantages include time efficiency through bypassing chemical processing and the ability to digitally transfer and enhance images. Also less radiation can be used to produce an image of similar contrast to conventional radiography. Instead of X-ray film, digital radiography uses a digital image capture device. This gives advantages of immediate image preview and availability; elimination of costly film processing steps; a wider dynamic range, which makes it more forgiving for over- and under-exposure; as well as the ability to apply special image processing techniques that enhance overall display of the image.



Digital Panoramic X-Ray

An Orthopantomogram (OPG), also known as an "orthopantogram" or "panorex", is a panoramic scanning dental X-ray of the upper and lower jaw. It shows a two-dimensional view of a half-circle from ear to ear. OPGs are used by dentists to provide information on :

  • Impacted wisdom teeth
  • Periodontal bone loss
  • Finding the source of dental pain
  • Assessment for the placement of dental implants
  • Orthodontic assessment

BENEFITS:
  • Broad anatomic region is imaged.
  • Low radiation dose.
  • Convenient, easy and fast. The entire procedure takes 14 seconds expsure time.
  • Procedure can be performed on patients who cannot open their mouth.
  • Easy for edentulous patients, patients who do not tolerate intraoral procedure well, patients with multiple tooth / Oral pathology.
  • No overlapping of facial bones

img


img

Dental CT Scan

Dental CT scan that involves 3D view of entire oral maxillofacial region (Galileos Compact, 3D Scan machine from Sirona) will also be taken of your teeth. A three-dimensional model of the mouth is a supreme assistance for implantology when planning tooth implants, but is correspondently popular for other fields of dentistry.
The 3D simulation permits doctors to:

  • Detect abscess or cyst on the roots of your teeth.
  • Provides cross-sections through bone matter.
  • Provide panoramic x-rays that dentist use to analyze complex treatments.
  • Root positions.
  • Measures bone density, bone and jaw deformity and assessment of sinus..
  • Bone quantity prior to orthodontic space closure.
  • Oral cancer.
  • CT scans are essential for the accurate placement of dental implants.



Testimonial