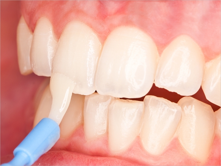
Fluoride applications are a safe and effective way to safeguard your growing child's teeth from developing decay. The fluoride is painted onto the surface of the child's teeth and this helps to mineralise the teeth.
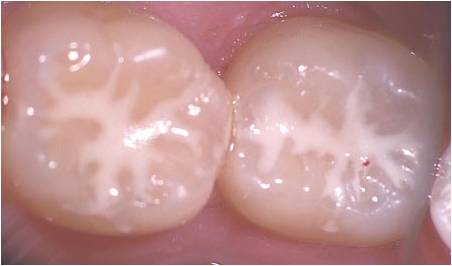
Fissure sealants are tooth coloured and applied to biting surfaces of children's teeth to prevent decay. Studies have shown that the younger the age that you bring your child to the dental practice, even if just for a check-up, the more likely they are to have a positive experience and grow up not to be afraid of the dentist.
Root canal treatment is needed when the blood or nerve supply of the tooth is infected through decay or injury. The aim of the treatment is to remove all infection from the root canal. The root is then cleaned and filled to prevent any further infection.
A crown or a cap is artificial restoration placed over a weakened tooth to make it strong and give it a shape of natural tooth. Crowns may be of porcelain, gold , metal or combination.
Fissure sealants are tooth coloured and applied to biting surfaces of children's teeth to prevent decay. Studies have shown that the younger the age that you bring your child to the dental practice, even if just for a check-up, the more likely they are to have a positive experience and grow up not to be afraid of the dentist.
One stop solution for all your dental needs....highly recomended....
Innovative concepts in dental set up n trust worthy place for patients.
#co-operative clinic #pain release treatment..get my healthy smile back😁😊 must visit regarding any dental problems👍