Restorative Dentistry

Composite Restorations

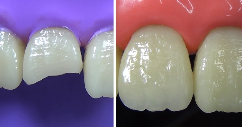
Dental composite resins (better referred to as "resin-based composites" or simply "filled resins") are types of synthetic resins that are used in dentistry as restorative material or adhesives. Dental composite resins have certain properties that will benefit patients according to the patient's cavity.

img


img

GIC Restorations

Glass ionomer cements are considered a successful material for restoring primary teeth, their ease of handling, biocompatibility, ability to adhere to tooth structure, and most impotently the release and of fluoride make them very attractive materials for use in the pediatric population. Several modifications of glass ionomer cements have been introduced for clinical use, some were more successful than others, with the most recent addition, the hydroxyapatite enhanced glass ionomer cement.



Crowns & Bridges

Crowns & Bridges is the dental restoration for the tooth/teeth which are damaged, decayed or lost. Crowns and most bridges are fixed prosthetic devices used for your dental restoration. Different crowns fabricated are Metal crowns, Porcelain fused to Metal Crowns, Full ceramic crown, Zirconia crowns using CAD-CAM Technology.

img